안녕하세요 스마트동물병원 신사본원입니다오늘은 강아지의 자궁 축농증 수술 후기에 대해 포스팅 하도록 하겠습니다.
자궁축농증, 영문으로 Pyometra 말 그대로 Pyo(고름,고름) metra(자궁의) 두 단어의 합인데 자궁 내에 고름이 쌓이는 병입니다.
자궁축농증의 발생 원인은
여성호르몬 분비로 인한 영향으로 자궁내 환경 변화 및 자궁경부 개방감의 차이로 인해 지속적인 반복생리나 발정시 감염원(세균)이 지속적으로 침입하면 자궁내 염증이 발생합니다.
자궁축농증의 증상은
크게 개방형과 폐쇄형으로 나뉩니다.개방형 자궁축농증의 경우 외음부에서 고름이 배출되기 시작하여 발정주기 이상이나 식욕부진(식욕절폐), 다뇨, 열감 등이 감지될 수 있습니다.
폐쇄형 자궁축농증이라면 초기에 외음부에서 고름이나 분비물이 잘 관찰되지 않아 훨씬 진행된 상태에서 갑자기 식욕부진, 열감, 기력저하로 내원하는 경우가 많습니다.훨씬 구급적이고 위험성이 높은 치료를 동반합니다.
자궁축농증의 자세한 진단은
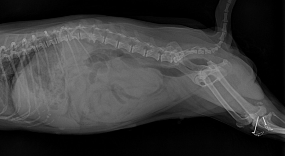
동물 병원에 내원해 주시고, 수의사의 판단으로 검사를 통해 확인이 됩니다.기본적으로 필요한 최소한의 검사는 복부 초음파 검사나 X 선 검사, 혈액 검사 등이 진단에 필요합니다.
개의 자궁 축농증 치료
강아지의 자궁 축농증 치료는 외과적인 수술 이외에는 근본적인 해결은 할 수 없습니다.초기 자궁내막염의 경우 내과적 처치를 할 수도 있으나 자궁축농증 진단을 받는 경우 증상이 더 악화되기 전에 마취만 가능한 상태라면 수술을 통해 완치할 수 있습니다.
오늘 포스팅할 멤버는 13살 말티즈 ‘누리'(가명)입니다.
누리는 식욕부진과 기력저하로 병원을 찾았습니다.
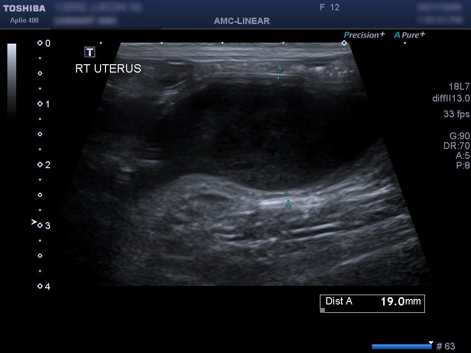
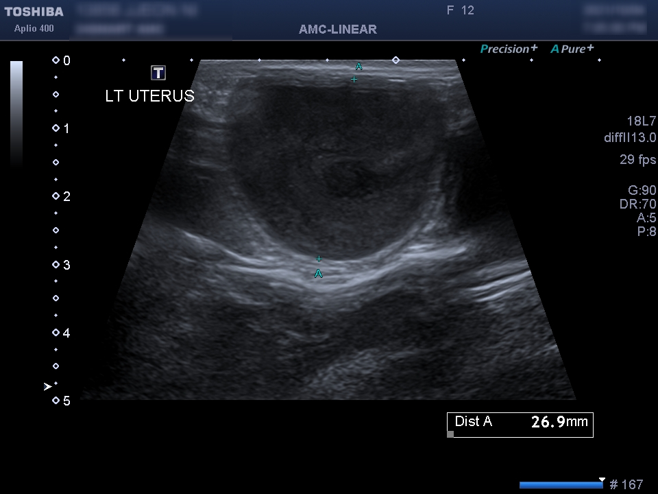
신체 검사 결과 생식기 쪽에서 삼출물이 확인되었습니다.자궁 축농이 의심되는 상황이어서 초음파 검사를 통해 확진을 할 수 있었습니다.





초음파 검사를 통해 확장되어 있던 양쪽 자궁을 확인할 수 있었습니다



누리는 혈액검사상 전신염증 상태가 확인되어 자궁출혈에 의한 것으로 보이는 빈혈이 확인되었습니다.
따라서 안전한 수술을 위해 수술과 수혈을 동시에 하였습니다.


다행히 안정적으로 수술을 마쳤고 수혈로 빈혈 수치도 좋아졌어요.
1주일 정도 입원처치를 한 이후 염증 수치도 정상범위로 회복되었고, 식욕과 컨디션도 좋아져 건강하게 퇴원하였습니다.
중성화하지 않는 여자 아이라고 해서 자궁 축농증이 되는 것은 아닙니다.
그러나 자궁축농증 뿐만 아니라 자궁점액종, 자궁수종 난소종양, 유선종양 만성질염이나 일부 호르몬성 피부염 등이 매우 높은 빈도로 발생할 확률이 높습니다.
중성화되지 않은 여자아이는 평소 외음부 분비물이 많이 나오거나 갑자기 생리불순이 잦아지거나 식욕부진, 열감, 기력저하 등이 나타나면
동물병원을 방문하여 적절한 검사와 치료가 필요할 수 있습니다.또한 이를 예방하여 건강에 오랫동안 보호자와 함께 있을 수 있도록 중성화 수술도 권합니다.
스마트 동물병원은 아이들의 건강과 행복을 위해 항상 노력하겠습니다!
서울특별시 강남구 도산대로 213