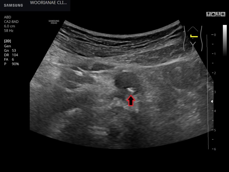
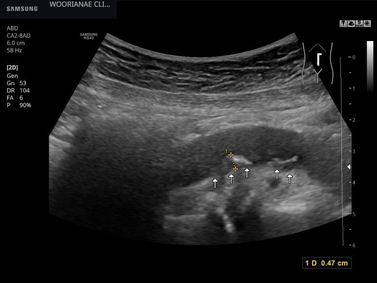
플라크(plaques) 소견 – 동대문구 답십리, 우리안애내과 흡연여성에서 복통평가 중 발견된 복부대동맥의 동맥경화,

60대 초반의 여자 “이틀 전부터 허리가 아팠는데… 윗배를 누르면 아프다”.누르기 전의 증상은? 가스 차는 정도의 증상이다.”

작년 위암검진 등 시행 대장내시경 기왕력 없다

신체검사시 명치압통?? 대동맥촉지에 의한 정도의 반응? 정상반응?

복부초음파 시행췌장 등의 고형장기는 대부분 잘 관찰되었으며 종양성 병변은 관찰되지 않았다.

대동맥의 뺨이 쑤시는 등 배제를 위해 혈관도 관찰하지만…명백한 동맥경화, 플라크가 관찰된다; 20대 때부터 흡연력

사슴벌레 모양의 확장 소견(aneu rysmalchange)은 없었고 동맥 주변에 저음영 이상 소견은 관찰되지 않았다.

참조>저음영으로 보이는 후복강 섬유화

플라크를 흐르는 혈류의 모습

마른 체형의 경우 대동맥 촉지로 인한 통증은 정상 반응일 수 있으므로 구별이 필요하며, 이 경우 팽만감에 대한 증상적 투약 후 고지혈 평가 및… 투약 결정

복통이 없던 췌장암, 위에 여성환자 검사 중 예로 설명하지만 가까운 지인으로 확인된 https://blog.naver.com/ejercicio/222135948533https://blog.naver.com/ejercicio/222135155071 위 환자의 메일 안내를 받아 다음날 내원 초음파 시행 전반적으로… blog.naver.com

흡연 여부에 따라 부부로 보이는 경동맥 내막차이 https://blog.naver.com/ejercicio/221468387926 부부가 검진을 위해 내원=50대 초반 남성 진료실 혈압 128/76 가족력 뇌경색 흡연 하루동안 기뻐하시는 폐 기능 검사… blog.naver.com

동대문구 답십리우리안애내과 우리안애내과 건강검진클리닉내과 전문의 정병용 www.loveinwoori.com 동대문구 답십리내과 건강증진센터입니다. 5대 암을 비롯한 국가건강검진 및 초음파, 내시경 클리닉을 통해 지역주민에게 전인적 의료서비스를 제공합니다.www.loveinwoori.com

#동대문구내과 #성동구내과 #광진구내과 #답십리내과 #장안동내과 #용답동내과 #청량리내과 #한양대역 #왕십리역 #답십리사거리 #촬영소사거리 #전농동내과 #초초초과 #건강검진 #위내시경

error: Content is protected !!